yogendraortho@gmail.com
+91-8319038861
Book An Appointment
Dr Yogendra Singh Shekhawat
Consultant Paediatric Orthopaedics
MBBS, MS-Orthopaedics, Fellowship in Paediatric
Orthopaedics - Mumbai.
Home
About Us
Our Services
Fractures
Bone and Joint Infections
Clubfoot Clinic
Limb Lengthening
Deformity Correction
Child Hip Preservation Service
Cerebral Palsy
Sports Injuries
Media
Photo Gallery
Video Gallery
Cases
Hospital Attachments
Testimonials
Contact Us
Cases
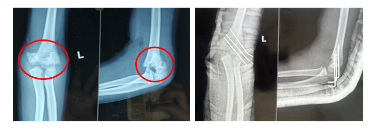
Elbow Supracondylar Humerus Fracture
Get
Appointment
Submit